Gudang Informasi

Can You Detect Lung Cancer With Ct Scan : Lung Cancer Snmmi : It can also look at your liver and adrenal glands.

Can You Detect Lung Cancer With Ct Scan : Lung Cancer Snmmi : It can also look at your liver and adrenal glands.
Can You Detect Lung Cancer With Ct Scan : Lung Cancer Snmmi : It can also look at your liver and adrenal glands.

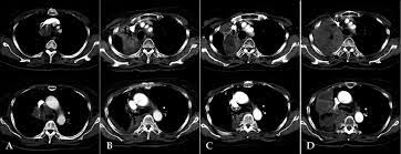
Can You Detect Lung Cancer With Ct Scan : Lung Cancer Snmmi : It can also look at your liver and adrenal glands.. The ct scan might show signs of cancer, but that cancer might not be active for example, it could be scar tissue left over from cancer killed off by your treatment this means you won't know whether or not you need to continue treatment Lung cancer typically goes undetected until it reaches stage 3 or 4. If you are a smoker, it is highly recommended to have a ct scan every 3 months. It can also show whether the cancer has spread outside the lung. But the test is not helpful for light smokers or people who quit smoking more than 15 years ago.

On the other hand, patients who've had surgeries related to their lungs or lung cancer are advised to take more scans than regular smokers. But this kind of testing is for diagnosis and is not the same as screening. It is used to look for early signs of lung cancer. A computer then combines these images into a detailed picture of your lungs. The risk of developing lung cancer due to a single ct scan of the chest is estimated to be one in 10,000.

Ct Outperforms Lab Diagnosis For Coronavirus Infection Healthcare In Europe Com
Ct Outperforms Lab Diagnosis For Coronavirus Infection Healthcare In Europe Com from healthcare-in-europe.com
This is because there are very few symptoms related to the condition until it gets to an advanced level. After cancer treatment, a ct scan is unable to determine whether masses leftover are cancerous: Alternatively, you should take lung ct scans if you are concerned or if you show any symptoms. Sometimes iv contrast is administered while the images are being obtained, as this can help radiologists define certain structures and pathology. A computer then combines these images into a detailed picture of your lungs. Doctors can use a ct scan to look for lung cancer. Need help kicking the tobacco habit? While it might seem obvious to assume that finding small tumors reduces one's likelihood of dying from lung cancer , this is incorrect.

If you are a smoker, it is highly recommended to have a ct scan every 3 months.

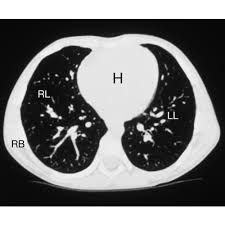
One of our lung nurse navigators will answer your questions, assist you with a referral to a primary care physician, and help you schedule your screening. People who already have symptoms that might be caused by lung cancer may need tests such as ct scans to find the underlying cause, which in some cases may be cancer. 95% of nodules found are benign. While not all detected lung nodules should be reported, radiologists. A computer then combines these images into a detailed picture of your lungs. But this kind of testing is for diagnosis and is not the same as screening. Doctors can use a ct scan to look for lung cancer. When you get a ct scan, you lie on a table while a machine rotates around your. A lung scan using either a ct scan or an ultrasound can detect these early signs of cancer. If you are a smoker, it is highly recommended to have a ct scan every 3 months. Computed tomography (ct) scans detect tumors, but do not determine whether they are malignant or not. This is because there are very few symptoms related to the condition until it gets to an advanced level. While it might seem obvious to assume that finding small tumors reduces one's likelihood of dying from lung cancer , this is incorrect.

Thanks to advances in medical technology, a computed tomography (ct) scan now allows doctors to detect lung cancer even during its early stages. The scan only takes a few minutes and is not painful. But this kind of testing is for diagnosis and is not the same as screening. Most doctors do not recommend pet/ct scans for routine follow up of patients after lung cancer treatment. It can also look at your liver and adrenal glands.

Scielo Brasil Pet Ct Imaging In Lung Cancer Indications And Findings Pet Ct Imaging In Lung Cancer Indications And Findings
Scielo Brasil Pet Ct Imaging In Lung Cancer Indications And Findings Pet Ct Imaging In Lung Cancer Indications And Findings from minio.scielo.br
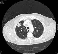
Ct scans are very sensitive in detecting lung cancers, and are the most common way in which cancers are diagnosed in the lungs. Need help kicking the tobacco habit? On the other hand, patients who've had surgeries related to their lungs or lung cancer are advised to take more scans than regular smokers. Fundamental to the diagnosis of lung cancer in ct scans is the detection and interpretation of lung nodules. A bone scan can help show if a cancer has spread to the bones. Thanks to advances in medical technology, a computed tomography (ct) scan now allows doctors to detect lung cancer even during its early stages. If the test finds cancer, treatment can start early. This significantly improves patients' chances of recovering from the disease and lowers related treatment costs.

It can also show whether the cancer has spread outside the lung.

People who already have symptoms that might be caused by lung cancer may need tests such as ct scans to find the underlying cause, which in some cases may be cancer. When you get a ct scan, you lie on a table while a machine rotates around your. Sometimes iv contrast is administered while the images are being obtained, as this can help radiologists define certain structures and pathology. Thanks to advances in medical technology, a computed tomography (ct) scan now allows doctors to detect lung cancer even during its early stages. If you are a smoker, it is highly recommended to have a ct scan every 3 months. It can also look at your liver and adrenal glands. Lung cancer typically goes undetected until it reaches stage 3 or 4. Because the risk of developing lung cancer is much greater than the added risk from a ct scan, and smoking increases the risk of lung cancer, we feel the benefits of ct screening for lung cancer in patients with a significant history of. The risk of developing lung cancer due to a single ct scan of the chest is estimated to be one in 10,000. Patients known to have lung cancer at the time of cardiac ct were excluded. The scan looks at your lungs and other parts of your chest. Most doctors do not recommend pet/ct scans for routine follow up of patients after lung cancer treatment. This can include a chest computed tomography (ct) scan and, if a nodule or mass is found, a biopsy.

Conversely, a mammogram or ultrasound can detect breast and prostate tumors, but it could completely miss a bone tumor. It is used to look for early signs of lung cancer. A computer then combines these images into a detailed picture of your lungs. Screening is meant to find cancer in people who do not have symptoms of the disease. If the test finds cancer, treatment can start early.

Pet Ct Scan Image Of Whole Body Comparison Axial Plane In Ct Scan And Pet Ct On The Screen For Detect Cancer Recurrence In Patient Lung Cancer Disease Stock Photo Download
Pet Ct Scan Image Of Whole Body Comparison Axial Plane In Ct Scan And Pet Ct On The Screen For Detect Cancer Recurrence In Patient Lung Cancer Disease Stock Photo Download from media.istockphoto.com
This significantly improves patients' chances of recovering from the disease and lowers related treatment costs. Thanks to advances in medical technology, a computed tomography (ct) scan now allows doctors to detect lung cancer even during its early stages. While not all detected lung nodules should be reported, radiologists. The risk of developing lung cancer due to a single ct scan of the chest is estimated to be one in 10,000. An easy ct scan can potentially detect cancer early before symptoms appear so we can start a treatment plan. Researchers expect the screening will detect lung cancer in approximately five of every 100 patients enrolled, or a five percent incidence rate that could result in over 2,000 patients potentially being diagnosed with lung cancer. When you get a ct scan, you lie on a table while a machine rotates around your. But the test is not helpful for light smokers or people who quit smoking more than 15 years ago.

It can also show whether the cancer has spread outside the lung.

It is used to look for early signs of lung cancer. After cancer treatment, a ct scan is unable to determine whether masses leftover are cancerous: Most doctors do not recommend pet/ct scans for routine follow up of patients after lung cancer treatment. A lung scan using either a ct scan or an ultrasound can detect these early signs of cancer. While it might seem obvious to assume that finding small tumors reduces one's likelihood of dying from lung cancer , this is incorrect. The risk of developing lung cancer due to a single ct scan of the chest is estimated to be one in 10,000. This can include a chest computed tomography (ct) scan and, if a nodule or mass is found, a biopsy. This significantly improves patients' chances of recovering from the disease and lowers related treatment costs. Ct scans can detect cancer at a very small size. Doctors can use a ct scan to look for lung cancer. Once a nodule is found, a workup is done to see if it is cancer. Sometimes iv contrast is administered while the images are being obtained, as this can help radiologists define certain structures and pathology. Thanks to advances in medical technology, a computed tomography (ct) scan now allows doctors to detect lung cancer even during its early stages.

Advertisement